Ingegroeide teennagel

Ingegroeide teennagel

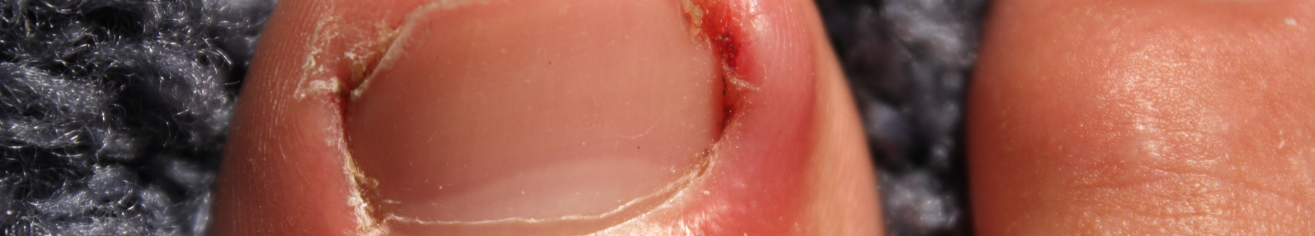
Een ingegroeide nagel komt meestal voor aan de grote teen. Dit kan leiden tot irritatie, pijn en zelfs ontsteking van de huid. Vermijd druk op de tenen en knip je teennagels niet te kort.

Specifieke vragen?
Wat is een ingegroeide teennagel?

Bij een ingegroeide teennagel is de rand van de nagel in de huid gegroeid, meestal aan de grote teen.  Dit kan leiden tot irritatie, pijn en zelfs ontsteking van de huid. Door beschadiging van de huid kunnen bacteriën in de wond dringen en een infectie veroorzaken. Bij een aanhoudende ontsteking kan wild vlees en ettervorming ontstaan.

Met een goede voetverzorging kunnen klachten verlicht worden. Een podoloog kan daarbij helpen.  Een ingegroeide nagel kan eventueel losgemaakt worden onder lokale verdoving  of een ingegroeid nageldeel kan verwijderd worden.

Lees meer

Lees minder

Er zijn momenteel geen beschikbare producten gevonden voor deze categorie!
Contactformulier
Voornaam:
     
Achternaam:
     
Email:
     
Jouw vraag / opmerking: